pgÉͽðÅ®Íõ

EN

Õã½­¹ã»ªÒ½Ôº¿ªÕ¹Ììçá¹Ç¿Æ»úеÈ˸¨ÖúÊÖÊõ

2020 - 06 - 05 15 : 36

¿ËÈÕ£¬ £¬£¬£¬£¬Õã½­¹ã»ªÒ½Ôº¼¹Öù¿ÆÔÚÌìçá?¹Ç¿ÆÊÖÊõ»úеÈ˵ĸ¨ÖúÏÂÍê³ÉÁËһ̨¼¹ËèÐ;±×µ²¡¾±×µºó·׵¹­¸ùÂݶ¤ÄÚÀο¿+¼õѹÈÚºÏÊÖÊõ¡£¡£ ¡£¡£¡£¡£¡£ÒÔÍù¾±×µºó·ÄÚÀο¿ÊÖÊõÄѶȴóΣº¦¸ß£¬ £¬£¬£¬£¬ÏÖ½ñÔÚÌìçá?¹Ç¿ÆÊÖÊõ»úеÈ˵Ä×ÊÖúÏ£¬ £¬£¬£¬£¬½µµÍÁ˾±×µºó·ÄÚÀο¿µÈÊÖÊõµÄÊÖÒÕÃż÷£¬ £¬£¬£¬£¬Îª¿í´ó»¼Õß´øÀ´¸£Òô¡£¡£ ¡£¡£¡£¡£¡£



Ò»¡¢ÊÖÊõÊÇÎÒ×îºóµÄÏ£Íû


¼Òס¶¨º£µÄ·¶°¢ÆÅ6Äêǰ¾Í×îÏÈ·ºÆðÐÐ×ß¼èÐÁ£¬ £¬£¬£¬£¬ËÄÖ«ÎÞÁ¦×ß·Ïñ½Å²ÈÃÞ»¨£¬ £¬£¬£¬£¬ÒÔΪÊÇÑü×µ¼²²¡£¬ £¬£¬£¬£¬Ê±³£ÔÚ¼ÒÖÜΧµÄÕïËùÐÐÕë¾ÄÍÆÄÃÖÎÁÆ£¬ £¬£¬£¬£¬Ã»Ï뵽֢״һֱδ¼û»º½â£¬ £¬£¬£¬£¬²¢Öð½¥¼ÓÖØ¡£¡£ ¡£¡£¡£¡£¡£3ÄêǰÓÖ×îÏÈ·ºÆðË«ÊÖÂéľ£¬ £¬£¬£¬£¬ÏµØÐÐ×ßÖð½¥ÄÑÌ⣬ £¬£¬£¬£¬ÔÚÍâµØÒ½Ôº¾ÍÕï×öÁ˸÷Ïî¼ì²é£¬ £¬£¬£¬£¬×îºó·¢Ã÷¾¹È»ÊǼ¹ËèÐ;±×µ²¡£¬ £¬£¬£¬£¬±»¼û¸æÏëÒªÖÎÁƵϰֻÄÜ×öÊÖÊõ²Å»ª½â¾öÎÊÌâ¡£¡£ ¡£¡£¡£¡£¡£


¡°»á²»»áÊǸã´íÁ˰¡£¡£ ¡£¡£¡£¡£¡£¿£¿£¿£¿£¿£¿£¿¡±Ó÷¶°¢ÆÅ×Ô¼ºµÄ»°Ëµ£¬ £¬£¬£¬£¬¡°ÎÒÔõôҲÏë²»µ½£¬ £¬£¬£¬£¬½ÅÉϵÄÎó²î¾ÓÈ»ÊǾ±×µÒýÆðµÄ¡£¡£ ¡£¡£¡£¡£¡£¡±¿ÉÊÇÓÉÓÚÄêËê½Ï´ó£¬ £¬£¬£¬£¬Æ½Ê±ÓÖÓиßѪѹ,ÌÇÄò²¡µÈÄڿƼ²²¡£¬ £¬£¬£¬£¬ÔÙ¼ÓÉϾ±×µÊÖÊõΣº¦¼°ÄѶȽϸߣ¬ £¬£¬£¬£¬ÕÒÁ˺ü¸¼ÒÒ½Ôº¶¼±»½¨ÒéÊØ¾ÉÖÎÁÆ¡£¡£ ¡£¡£¡£¡£¡£·¶°¢ÆÅ¶à·½ÇóÕïÎÞ¹û£¬ £¬£¬£¬£¬Åãͬ×ÅÖ¢×´Ô½À´Ô½ÖØ£¬ £¬£¬£¬£¬¾­Óɺ¢×ÓÃÇ¡¢ÇׯÝÅóÙ­ÃǶ෽̽ѯ£¬ £¬£¬£¬£¬¾öÒéµ½ÖÛɽ¶¨º£¹ã»ªÒ½Ôº¾ÍÕï¡£¡£ ¡£¡£¡£¡£¡£



¶þ¡¢ÌìçḨÖúÊÖÊõ¼ÜÆðÉúÃüÇÅÁº


640.png

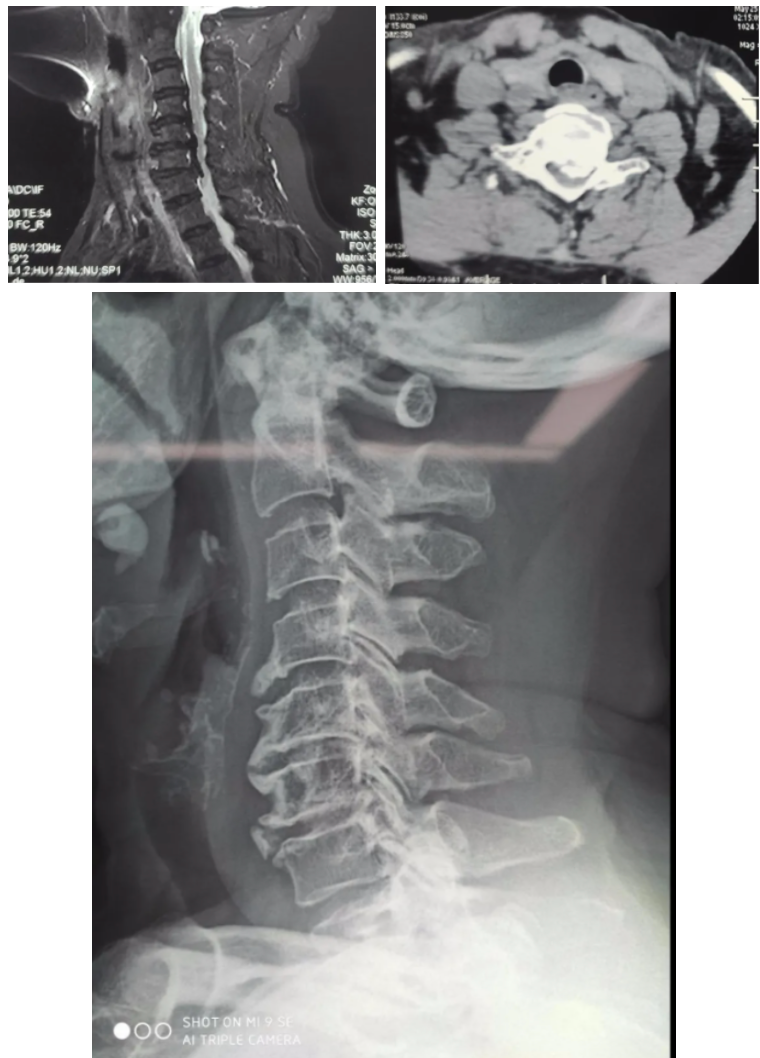
×µ¼äÅ̺óÔµ¹ÇÐÔÔöÉúեȡÉñ¾­


ÕâÒ»´Î£¬ £¬£¬£¬£¬·¶°¢ÆÅµÄÏ£ÍûÖÕÓÚûÓÐÂä¿Õ£¬ £¬£¬£¬£¬Á¬Ã¦´òµãÁËסԺ¡£¡£ ¡£¡£¡£¡£¡£ÔÚÍêÉÆÊõǰ¼ì²éɨ³ýÊÖÊõ½û¼ÉÖ¢ºó£¬ £¬£¬£¬£¬¹ã»ªÒ½Ôº¼¹Öù¿ÆÍŶÓÔÚÀîÔº³¤µÄÏòµ¼Ï½èÖúÌìçá?¹Ç¿ÆÊÖÊõ»úеÈËÊÖÒÕ£¬ £¬£¬£¬£¬Îª·¶°¢ÆÅ¿ªÕ¹ÁËÊÖÊõ¡£¡£ ¡£¡£¡£¡£¡£


640.webp.jpg

ÊõǰÏû¶¾×¼±¸


640.webp (1).jpg

°²ÅÅÌå±í¶¨Î»ÒÇ


ÊõÖÐÔÚ°²ÅźÃÌå±í¶¨Î»ÒǺó£¬ £¬£¬£¬£¬µÐÊÖÊõ²¿Î»¾ÙÐÐÈýάɨÃ裬 £¬£¬£¬£¬ÍýÏë¾±7×µ¹­¸ùÂݶ¤Öö¤õè¾¶¡£¡£ ¡£¡£¡£¡£¡£


640.webp (2).jpg


640.webp (3).jpg

°´Éè¼Æ¾ÙÐÐÖÃÈëµ¼Õë


640.webp (4).jpg

ÈýάÔÙ´ÎÑéÖ¤µ¼ÕëλÖ㬠£¬£¬£¬£¬Öõ¼¾«×¼


ÔÚÌìçá?¹Ç¿ÆÊÖÊõ»úеÈ˸¨ÖúÏ£¬ £¬£¬£¬£¬Í¨¹ý¾«×¼¶¨Î»£¬ £¬£¬£¬£¬Ò½ÉúΪ·¶°¢ÆÅÖÃÈëÂݶ¤£¬ £¬£¬£¬£¬ÊÖÊõÖмÈûÓÐËðÉ˵½×µ¶¯ÂöҲûÓÐÅö´¥¼¹Ë裬 £¬£¬£¬£¬ÊÖÊõǰºóÖ»ÓÃÁËÒ»¸ö°ëСʱ£¬ £¬£¬£¬£¬³öѪÁ¿ºÜÊÇÉÙ¡£¡£ ¡£¡£¡£¡£¡£



Èý¡¢ÌìçḨÖúÊÖÊõ´ó´ó½µµÍΣº¦


ÀîÔº³¤ÏÈÈÝ£¬ £¬£¬£¬£¬¼¹ËèÐ;±×µ²¡ÊÇÓɶàÖÖÒòËØµ¼Ö¾±×µ×µ¹ÜÏÁխեȡ¼¹Ë裬 £¬£¬£¬£¬»¼Õß»á׿¹ËèÊÜѹ¼°±äÐÔµÄˮƽ¼ÓÖØ£¬ £¬£¬£¬£¬Öð½¥·ºÆðË«ÏÂÖ«²ÈÃÞ¸ÐÂéľ·¦Á¦Ë«ÊÖÂéľ·¦Á¦£¬ £¬£¬£¬£¬ºóÆÚÉõÖÁ¿É·ºÆð½ØÌ±¾Þϸ±ãʧ½ûµÈÇéÐΡ£¡£ ¡£¡£¡£¡£¡£·¶°¢ÆÅ¼´ÊÇÓÉ×µ¼äÅ̺óÔµ´ó×Ú¹ÇÖÊÔöÉúեȡ¼¹ËèÒýÆðµÄ£¬ £¬£¬£¬£¬¹ØÓÚÕâÖÖ¹ÇÖÊÔöÉúÑÏÖØµÄ²¡ÈË£¬ £¬£¬£¬£¬¾±×µÇ°Â·ÊÖÊõÎÞ·¨Íê³É¼õѹ£¬ £¬£¬£¬£¬Ö»ÄÜÐо±×µºó·ÈںϼõѹÄÚÀο¿ÊÖÊõ¡£¡£ ¡£¡£¡£¡£¡£


¾±×µºó·ÊÖÊõÖ®ÒÔÊǽÏǰ·ÊÖÊõΣº¦¸üºÆ½Ù¶È½Ï¸ß£¬ £¬£¬£¬£¬³ýÁËÌåÏÖÔÚ¼õѹʱÈÝÒ×ËðÉËÉñ¾­Ö®Í⣬ £¬£¬£¬£¬ÉÐÓÐÒ»¸öÖ÷ÒªµÄµã¼´ÊǾ±×µµÄ×µ¹­¸ù½Ïϸ£¬ £¬£¬£¬£¬Âݶ¤Ö²Èëʱ¹ØÓÚÖö¤µãºÍÖö¤½Ç¶ÈµÄÒªÇ󼫸ߣ¬ £¬£¬£¬£¬ÉÔÓÐʧÉ÷¾Í»á·ºÆðÎó²î£¬ £¬£¬£¬£¬ËðÉËÉñ¾­¼°Ñª¹Ü£¬ £¬£¬£¬£¬ÉõÖÁÓÚΣ¼°ÉúÃü£¬ £¬£¬£¬£¬¶øÕâÖÖΣº¦ÔÚÓÐÁËÌìçá?¹Ç¿ÆÊÖÊõ»úеÈ˸¨Öúºó£¬ £¬£¬£¬£¬½èÖúÌìçá?¹Ç¿ÆÊÖÊõ»úеÈ˾«×¼µÄ¶¨Î»¼°Ö¸µ¼£¬ £¬£¬£¬£¬ÕâÖÖΣº¦¿É´ó´ó½µµÍ¡£¡£ ¡£¡£¡£¡£¡£




ÎÄÕÂȪԴ | Õã½­ÖÛɽÊж¨º£¹ã»ªÒ½Ôº

ÕûÀí£ºpgÉͽðÅ®Íõ


ÍøÕ¾µØÍ¼