ÄÏ·½¿Æ¼¼´óѧҽԺ¿ªÕ¹Ììçá¹Ç¿Æ»úеÈ˸¨ÖúÊÖÊõ
2020 - 05 - 24 15 : 30
¿ËÈÕ£¬£¬£¬£¬£¬ÄÏ·½¿Æ¼¼´óѧҽԺ£¨ÒÔϼò³Æ¡°ÄϿƴóÒ½Ôº¡±£©¹Ç¿ÆÔ˶¯ËðÉË×鿪չÁËÌìçá?¹Ç¿ÆÊÖÊõ»úеÈ˸¨ÖúÊÖÊõ£¬£¬£¬£¬£¬Íê³ÉÁËÌìçá?¹Ç¿ÆÊÖÊõ»úеÈË¡¢OÐͱÛÍŽḨÖúϼçëιÇà¹Í»¹ÇÕÛÄÚÀο¿Î¢´´ÊÖÊõ¡£¡£¡£¡£¡£¡£¾ÝϤ£¬£¬£¬£¬£¬ÄϿƴóÒ½ÔºÊÇÌìϽöÓеÄÊý¼ÒÍŽáÓ¦ÓôËÏî¸ß¾«¼âÊÖÒÕµÄÒ½ÁƵ¥Î»Ö®Ò»¡£¡£¡£¡£¡£¡£
»¼ÕßÍõ½ã£¨¼ÙÃû£©´Ó¸ß´¦×¹ÂäˤÉ˵¼ÖÂÓÒà¹Í»¹ÇÕÛ£¬£¬£¬£¬£¬ºÏ²¢à¹ËøÊàŦ°ëÍÑλ¡¢Ëø¹ÇÔ¶¶Ë¹ÇÕÛ¡£¡£¡£¡£¡£¡£ÓÉÓÚ¼çëιÇà¹Í»Ôڼ粿λÖýÏÉ£¬£¬£¬£¬ÇÒÖÜΧÓм¡ÈâºÍÐØ±ÚµÄ±£»£»£»£»£»¤£¬£¬£¬£¬£¬ÒÔÊǼçëιÇà¹Í»¹ÇÕ۵ķ¢²¡Âʽϵͣ¬£¬£¬£¬£¬ÊÇÒ»ÖÖÆ½Ê±ÉÙ¼ûÇÒÄѶȽϸߵÄÊÖÊõ¡£¡£¡£¡£¡£¡£
¹Å°åÊÖÊõÖУ¬£¬£¬£¬£¬×îΪ¼¬Êֵĵط½ÔÚÓÚÐèÒªºÜ³¤µÄƤ·ôÇпÚÀ´³ä·ÖÏÔ¶à¹Í»£¬£¬£¬£¬£¬ÖÃÈë¿ÕÐÄÂݶ¤¡£¡£¡£¡£¡£¡£ÓÉÓÚà¹Í»ÆÊ½âλÖýÏÉî¡¢ÐÎ×´²»¹æÔò£¬£¬£¬£¬£¬¹Å°åÊÖÊõ¾Æ¤Öö¤ºÜÄÑÕÆÎÕ½ø¶¤µÄÆ«Ïò¡£¡£¡£¡£¡£¡£¼ÓÖ®à¹Í»ºÍ¼çëÎÓÛÅþÁ¬´¦¹ÇµÀÏÁÕ£¬£¬£¬£¬£¬ÇÒÖÜΧ±Û´ÔÉñ¾¼°Ñª¹Ü¸»ºñ£¬£¬£¬£¬£¬¾ÍÏñÊÇÒª´©Ô½Ò»Æ¬¡°¾£¼¬´Ô¡±¡£¡£¡£¡£¡£¡£ÃæÁÙÕâÑùһƬѪ¹ÜµÄ¡°¾£¼¬´Ô¡±£¬£¬£¬£¬£¬¹Å°åÊÖÊõ²Ù×÷ÆðÀ´ÄѶȴó¡¢Î£ÏÕϵÊý¸ß£¬£¬£¬£¬£¬¼«ÈÝÒ×ËðÉËÖ÷ÒªÉñ¾Ñª¹Ü¡£¡£¡£¡£¡£¡£
´îÅäOÐͱ۵ÄÌìçá?¹Ç¿ÆÊÖÊõ»úеÈË¿ÉÔÚ15ÃëÄÚ»ñÈ¡ÊÖÊõÇøÓòµÄÈýάӰÏñÊý¾Ý£¬£¬£¬£¬£¬Í¼ÏñÇåÎúÇÒ·øÉäÁ¿µÍ£¬£¬£¬£¬£¬Ï൱ÓÚΪÊÖÊõÅ䱸Á˸߾«¶ÈµÄÈËÌå¡°±±¶·¡±µ¼º½£¬£¬£¬£¬£¬ÈòÙ×÷¸ü¾«×¼¡¢¸üÇå¾²¡¢¸ü΢´´¡£¡£¡£¡£¡£¡£

OÐͱ۵¼Èë»úеÈËÈýάÊý¾Ý¾ÙÐо«×¼ÊÖÊõÉè¼Æ
ÔÚÕⳡ¸ß¾«¼âµÄÊÖÊõÖУ¬£¬£¬£¬£¬Ììçá?¹Ç¿ÆÊÖÊõ»úеÈËÓëOÐͱÛÍŽḨÖú£¬£¬£¬£¬£¬Ò»Åļ´ºÏ¡£¡£¡£¡£¡£¡£Ììçá?¹Ç¿ÆÊÖÊõ»úеÈËÆ¾Ö¤ÊÖÊõÉè¼Æ£¬£¬£¬£¬£¬×¼È·¶¨Î»ÊÖÊõ²Ù×÷£¬£¬£¬£¬£¬Ö»Çпª0.5cm³¤µÄƤ·ôÇпڣ¬£¬£¬£¬£¬Ñ¸ËÙ¶¨Î»£¬£¬£¬£¬£¬´©Ô½Ñª¹Ü¡°¾£¼¬´Ô¡±£¬£¬£¬£¬£¬ÌìÒÂÎÞ·ìµØÆ¾Ö¤ÊÖÊõ¼Æ»®ÍêÉÆµ¼º½£¬£¬£¬£¬£¬¾«×¼Öö¤£¬£¬£¬£¬£¬Ê¹µÃÖØ´ó¡¢Î£ÏÕ²¿Î»µÄÊõÖÐÂݶ¤Àο¿±äµÃ׼ȷºÍÇå¾²¡£¡£¡£¡£¡£¡£Íõ½ãÔÚÊõºó»Ö¸´ÓÅÒ죬£¬£¬£¬£¬¶Ô¹ÇÒ»¿ÆÍŶӺÍÌìçá?¹Ç¿ÆÊÖÊõ»úеÈ˵ÄÊÂÇéÌåÏÖºÜÖª×ã¡£¡£¡£¡£¡£¡£

Ììçá?¹Ç¿ÆÊÖÊõ»úеÈË¡¢OÐαÛÍŽḨÖúϼçëιÇà¹Í»¹ÇÕÛÄÚÀο¿Î¢´´ÊÖÊõ

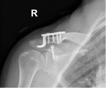
ÊõºóXÏ߯½Æ¬ÏÔʾÄÚÀο¿Î»ÖÃÓÅÒì
¾ÝϤ£¬£¬£¬£¬£¬ÏÖÔÚÔÚº£ÄÚʹÓÃOÐͱۻòʹÓûúеÈ˸¨ÖúÖÎÁƹÇÕÛÊÖÊõ½öÉÙÊý¼¸¼Ò´óÒ½ÔºÄÜÍê³É¡£¡£¡£¡£¡£¡£ÄϿƴóÒ½ÔºÔÚÉîÛÚÊÐÂÊÏÈÒý½øµÚÈý´úÌìçá?¹Ç¿ÆÊÖÊõ»úеÈË£¬£¬£¬£¬£¬²¢ÓëÏÖÔÚÌìÏÂÉÏ×îÏȽøµÄÊõÖÐÓ°Ïñ»ñȡϵͳOÐͱÛË«½£ºÏèµ£¬£¬£¬£¬£¬ÈÃÌìçá?¹Ç¿ÆÊÖÊõ»úеÈËÓµÓÐÁË¡°¿ª¹ÒÈËÉú¡±¡£¡£¡£¡£¡£¡£Á½¸öÉñÆ÷¡°ÈëÖ°¡±ÄϿƴóÒ½ÔºÒÔÀ´£¬£¬£¬£¬£¬ÒÑÍê³É°üÀ¨ÌìÏÂÊ×ÀýOÐͱ۸¨ÖúÌìçá?¹Ç¿ÆÊÖÊõ»úеÈ˼¹ÖùÊÖÊõ¡¢OÐͱ۸¨ÖúÌìçá?¹Ç¿ÆÊÖÊõ»úеÈËÑü×µ×µÌåºó͹³ÉÐÎÊõÔÚÄڵĶą̀¹Ç¿ÆÊÖÊõ¡£¡£¡£¡£¡£¡£
Ììçá?¹Ç¿ÆÊÖÊõ»úеÈ˺ÍÒ½Éú»ï°éÃÇϸÃÜÅäºÏ£¬£¬£¬£¬£¬ÔÚÒ½Ôº½¨ÉèÁËÒ»Ö§¼¹Öù¡¢¹ÇÅè¡¢ËÄÖ«È«ÁýÕÖµÄרҵ»úеÈËÊÖÊõÍŶӡ£¡£¡£¡£¡£¡£Õâ´ÎʹÓÃÌìçá?¹Ç¿ÆÊÖÊõ»úеÈË¡¢OÐͱÛÍŽḨÖúʵÑéà¹Í»¹ÇÕÛÄÚÀο¿ÊÖÊõµÄÐÂʵÑéÒ²µÖ´ïº£ÄÚÁìÏÈˮƽ£¬£¬£¬£¬£¬ÊǶԻúеÈËÊÖÊõµÄÁ¢ÒìºÍÍ»ÆÆ£¬£¬£¬£¬£¬±ê¼Ç×ÅÄϿƴóÒ½Ôº¹Ç¿ÆÊ¹ÓûúеÈËÊÖÊõÊÖÒÕˮƽÓÖÉÏÁËÒ»¸öÐĄ̂½×¡£¡£¡£¡£¡£¡£
ÎÄÕÂȪԴ£º¹ã¶«ÎÀÉúÔÚÏß
ÕûÀí£ºpgÉͽðÅ®Íõ
