-
脊柱 -
骨盆 -
股骨颈 -
肩部 -
足踝 -
手外
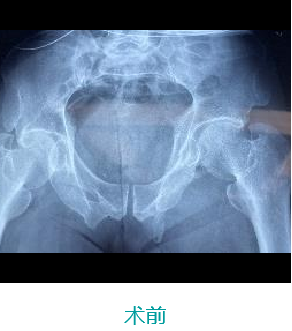
天玑II创伤手术—骨盆手术
天玑II 辅助骶髂螺钉(S1-S2)、前柱顺行经皮空心螺钉内牢靠术
基本情形:患者男,,,,,,61岁,,,,,,骨盆骨折
机械人辅助优势:天玑II接纳C臂跟踪器来完成图像收罗和配准,,,,,,优化手术流程
病例泉源:北京积水潭医院



- 上一篇:天玑II创伤手术—骨盆手术 2022-01-19
- 下一篇:经皮空心螺钉内牢靠术 2020-05-25
